Дуже важкий, так званий обширний інфаркт ледь не обірвав життя 32-річному чернівчанину Ігореві Грабюку. Відновлював здоров’я після цього він сирими оліями. А нині допомагає це зробити й іншим, бо взявся за виробництво цього «еліксиру для серця».

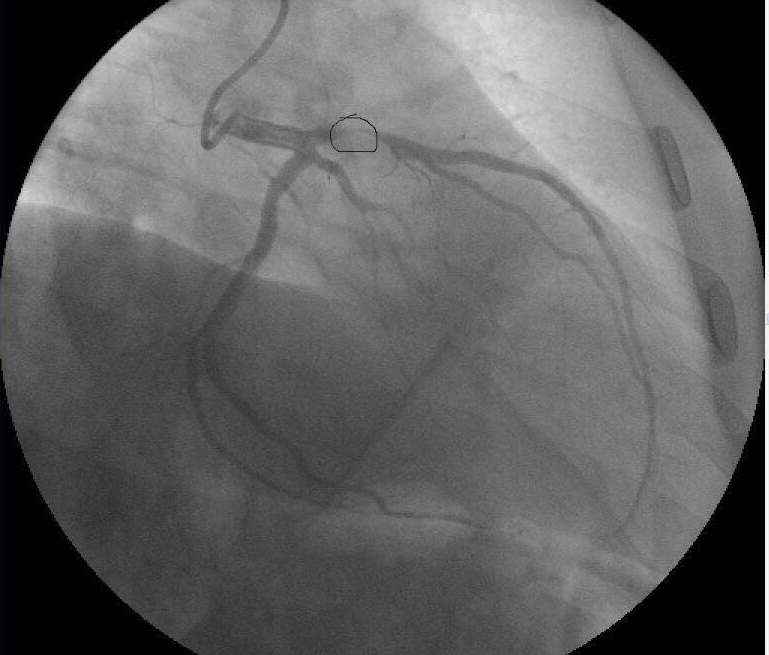
– Після інфаркту на мене дивилися, як на відпрацьований матеріал, – пригадує чоловік і демонструє знімок коронографії, зроблений 7 років тому. На ньому перекрита тромбом судина. Каже: якби не ота світла ниточка, просвіт у 5% кровотоку, він би сьогодні про усе це не розповідав.
Кілька тижнів лікарі боролися, аби поставити чоловіка на ноги. А потім ще понад рік Ігорю знадобилося, аби повернутися до нормального життя і довести самому собі: він – не відпрацьований матеріал. Допомогли в цьому постійна робота над власним оздоровленням та народжена цією роботою власна справа.
Про те, як після пережитого інфаркта чернівчанин відновив здоров’я сировичавленими оліями і відкрив власну справу, щоб лікувати людей з допомогою здорового харчування, докладніше читайте тут.
Орест ГОРЯНСЬКИЙ
для «Урядового кур’єра»

Ми в Google+